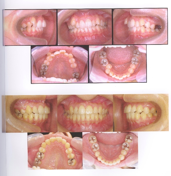
ちょっとグロイので恥ずかしいのですが、
時々「矯正日記」で検索して見に来ている方がいらっしゃるようなので
矯正歯科で撮ってくれた画像を思い切って載せました。
ご参考になるかしら?

裏側からの装置がついている様子。
見ればわかると思うが、上の5枚が矯正前。下の5枚が矯正後。